For many people in the United Kingdom, severe dental problems can affect far more than just their smile. Difficulty chewing, chronic discomfort, and missing teeth can significantly impact overall health and quality of life. When multiple teeth are damaged or lost, dentists often recommend a comprehensive treatment known as full mouth reconstruction.
In recent years, many UK patients have started considering Full Mouth Reconstruction Abroad as a practical solution. By travelling to international dental clinics, patients can access advanced treatments, shorter waiting times, and significantly lower costs while still receiving high-quality care.
This guide explains what full mouth reconstruction involves, why UK patients choose treatment abroad, and how the process typically works.
What Is Full Mouth Reconstruction?
Full mouth reconstruction is a complex dental treatment designed to rebuild or replace most or all of the teeth in both the upper and lower jaws. Unlike cosmetic dentistry, which mainly focuses on improving the appearance of the smile, this treatment aims to restore function, health, and structural stability.
Patients who require full mouth reconstruction usually suffer from multiple dental issues at the same time. These may include extensive tooth decay, advanced gum disease, severe tooth wear, trauma, or long-term tooth loss.
Instead of treating each dental problem separately, dentists create a comprehensive treatment plan that addresses the entire mouth. The goal is to restore the patient’s bite, chewing ability, and long-term oral health while also improving the appearance of the teeth.

Why UK Patients Consider Full Mouth Reconstruction Abroad
Dental treatment costs in the UK can be extremely high, particularly for advanced procedures involving dental implants or full arch rehabilitation. As a result, more patients are researching full mouth reconstruction abroad as an alternative.
The main reasons for this trend are related to affordability, accessibility, and specialised expertise.
Cost Comparison
The difference in cost is often the biggest factor influencing patient decisions. While prices vary depending on the complexity of treatment, international clinics frequently offer the same procedures at a significantly lower cost.
| Treatment | Average Cost UK | Typical Cost Abroad |
|---|---|---|
| Single Dental Implant | £2,000 – £3,000 | £600 – £1,200 |
| All-on-4 Full Arch | £12,000 – £18,000 | £4,000 – £8,000 |
| Full Mouth Reconstruction | £25,000 – £50,000+ | £10,000 – £20,000 |
Lower operating costs in many countries allow clinics to provide advanced treatment without compromising quality.
Shorter Waiting Times
In the UK, access to complex dental procedures can sometimes involve long waiting periods. Patients dealing with severe dental damage often prefer a faster solution. International clinics specialising in implant dentistry frequently offer quicker treatment scheduling and more flexible appointment availability.
Access to Specialised Implant Clinics
Some clinics abroad focus specifically on advanced implantology and full mouth rehabilitation. These clinics often perform a high volume of complex cases, including full-arch restorations and immediate implant procedures.
Because implant dentistry requires specialised training and experience, many patients prefer treatment centres that concentrate primarily on these procedures.
Dental Problems That May Require Full Mouth Reconstruction
Full mouth reconstruction is generally recommended when multiple dental problems affect most of the teeth. In such situations, simple treatments like fillings or single crowns are no longer sufficient.
Patients who require full mouth rehabilitation commonly experience:
-
Severe tooth loss
-
Advanced gum disease
-
Extensive tooth decay
-
Broken or worn teeth from grinding
-
Jaw bite misalignment
-
Trauma or accident-related damage
These conditions can make everyday activities such as eating and speaking difficult. A full reconstruction allows dentists to restore both function and stability across the entire mouth.

Common Procedures Used in Full Mouth Reconstruction
Because every patient’s situation is different, treatment plans vary depending on the condition of the teeth and jawbone. However, several procedures are commonly used during full mouth rehabilitation.
Dental Implants
Dental implants are small titanium posts that are surgically inserted into the jawbone to replace missing tooth roots. Once the implant integrates with the bone, it provides a stable foundation for a crown, bridge, or full arch prosthesis.
Implants are widely considered the most durable solution for replacing missing teeth because they mimic the function of natural tooth roots.
Full Arch Implant Systems
For patients who have lost most or all of their teeth, dentists often recommend full-arch implant solutions. These systems allow an entire set of teeth to be supported by a limited number of implants.
| System | Implants Used | Purpose |
|---|---|---|
| All-on-4 | 4 implants | Full arch restoration with minimal implants |
| All-on-6 | 6 implants | Increased stability for larger bite forces |
| Implant Bridge | 6–8 implants | Permanent fixed bridge across the arch |
These techniques allow patients to regain fixed teeth without needing an implant for every missing tooth.
Dental Crowns and Bridges
In cases where some natural teeth can still be preserved, dentists may use crowns or bridges to strengthen and restore damaged teeth. Crowns cover the entire tooth structure, while bridges replace missing teeth by anchoring to neighboring teeth or implants.
Bone Grafting
Patients who have experienced long-term tooth loss often suffer from jawbone deterioration. In these situations, bone grafting procedures may be necessary before implants can be placed. The graft rebuilds the bone structure so it can properly support dental implants.
Step-by-Step Process of Getting Full Mouth Reconstruction Abroad
Although travelling abroad for dental care may seem complicated at first, the treatment process is usually well organised. Most clinics that treat international patients follow a structured approach.
1. Online Consultation
The process typically begins with a remote consultation. Patients send dental records, X-rays, or photographs of their teeth to the clinic. Based on this information, the dentist provides an initial assessment and a proposed treatment plan.
2. Treatment Plan and Cost Estimate
After reviewing the case, the dental team prepares a personalised treatment proposal. This document usually includes:
-
Recommended procedures
-
Estimated treatment timeline
-
Number of clinic visits required
-
Total treatment cost
This allows patients to evaluate the plan and decide whether to proceed.
3. First Visit and Clinical Examination
When the patient arrives at the clinic, the dental team performs a full examination using modern diagnostic tools such as 3D CT scanning. This imaging allows the dentist to evaluate bone density, implant positioning, and overall oral health.
If necessary, minor adjustments are made to the treatment plan before surgery begins.
4. Surgical Phase
During the surgical stage, dental implants are placed in the jawbone. Many clinics now offer immediate loading, meaning temporary teeth can be attached shortly after the implants are inserted. This allows patients to leave the clinic with functional teeth while healing takes place.
5. Healing and Integration
After implant placement, the jawbone needs time to integrate with the implants. This process, known as osseointegration, usually takes several months. During this time, temporary restorations allow patients to maintain normal daily activities.
6. Final Restoration
Once healing is complete, the final prosthetic teeth are placed. These permanent restorations are custom designed to match the patient’s bite and facial structure, resulting in a natural and functional smile.
Is Full Mouth Reconstruction Abroad Safe?
Safety is a common concern for patients considering treatment outside their home country. In reality, many international dental clinics operate with modern technology and internationally trained specialists.
Patients should still conduct careful research before selecting a clinic. Factors such as clinical experience, modern equipment, patient reviews, and clear communication can help ensure a positive experience.
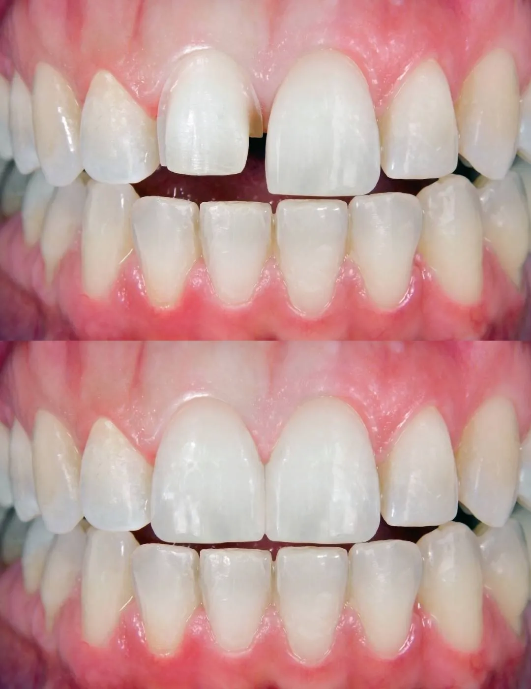
Advantages of Full Mouth Reconstruction
Full mouth reconstruction can transform both oral health and daily life. Patients who undergo this treatment frequently report significant improvements in comfort and confidence.
| Benefit | Explanation |
|---|---|
| Improved chewing ability | Patients can eat normally again |
| Restored bite alignment | Proper jaw function reduces strain |
| Better facial support | Teeth support the facial structure |
| Long-term durability | Implants can last decades with proper care |
| Increased confidence | A healthy smile improves self-esteem |
These benefits make full mouth reconstruction one of the most life-changing dental treatments available.
Who Is a Suitable Candidate?
Most adults suffering from severe dental damage may qualify for full mouth reconstruction. However, eligibility depends on several medical factors, including bone density, gum health, and overall medical condition.
Dentists also evaluate lifestyle habits such as smoking, which may affect implant success rates.
A detailed consultation is necessary to determine the most appropriate treatment plan for each patient.
Final Thoughts
For many people dealing with extensive dental problems, full mouth reconstruction can restore both health and quality of life. As the demand for advanced dental care continues to grow, more patients are exploring the option of Full Mouth Reconstruction Abroad to access high-quality treatment at a more affordable cost.
With proper research, careful planning, and consultation with experienced dental professionals, travelling abroad for dental rehabilitation can be a safe and effective solution.
Patients who take the time to understand the treatment process and choose the right clinic can achieve long-lasting results and regain the comfort of a fully restored smile.
Why Choose SOTA Dental for Full Mouth Reconstruction Abroad?
Choosing the right clinic is one of the most important decisions when considering full mouth reconstruction abroad. Patients travelling from the United Kingdom often look for a dental centre that combines clinical expertise, advanced technology, and a smooth treatment experience. SOTA Dental focuses specifically on comprehensive implant dentistry and full mouth rehabilitation for international patients.
Expertise in Complex Implant Cases
Full mouth reconstruction is a highly specialised treatment that requires experience in advanced implantology and restorative dentistry. At SOTA Dental, treatment plans are designed by clinicians who regularly perform complex implant procedures, including full-arch restorations and implant-supported bridges.
Handling a large number of complex cases allows the team to develop predictable treatment protocols that prioritise both long-term stability and natural aesthetics.
Advanced Digital Dentistry
Modern technology plays a crucial role in successful implant treatments. SOTA Dental uses digital diagnostics and treatment planning tools to ensure precision throughout the reconstruction process. Technologies such as 3D imaging and computer-guided implant placement help dentists evaluate bone structure, determine optimal implant positioning, and reduce surgical risks.
Digital workflows also allow for more accurate prosthetic design, resulting in restorations that fit comfortably and function naturally.
Personalised Treatment Planning
No two full mouth reconstruction cases are identical. Each patient receives a personalised treatment plan based on their oral health condition, bone structure, and functional needs. This approach ensures that both the surgical and restorative phases are carefully coordinated to achieve long-term results.
Before travelling, international patients can receive a preliminary consultation and treatment proposal, helping them understand the procedures, timeline, and expected outcomes.
Focus on International Patients
Many patients seeking full mouth reconstruction abroad are travelling from countries such as the UK, Ireland, or other parts of Europe. SOTA Dental has developed a treatment process specifically designed to make the experience smooth and predictable for international visitors.
Clear communication in English, structured treatment schedules, and support throughout the planning phase help patients feel confident before and during their treatment journey.
High-Quality Materials and Long-Term Results
Full mouth reconstruction requires durable materials that can withstand years of daily use. SOTA Dental uses modern implant systems and high-quality prosthetic materials designed to provide long-lasting performance while maintaining a natural appearance.
By combining experienced clinicians, digital planning, and reliable materials, the clinic focuses on delivering stable and functional results that restore both oral health and confidence.